MedVision AI — Diagnostic Analysis
Multi-Specialty Medical Imaging • AI Model v3.2
System Online
March 30, 2026
Cardiology
CT Coronary Angiogram — Positive & Negative Case Analysis
Positive — Disease DetectedURGENT
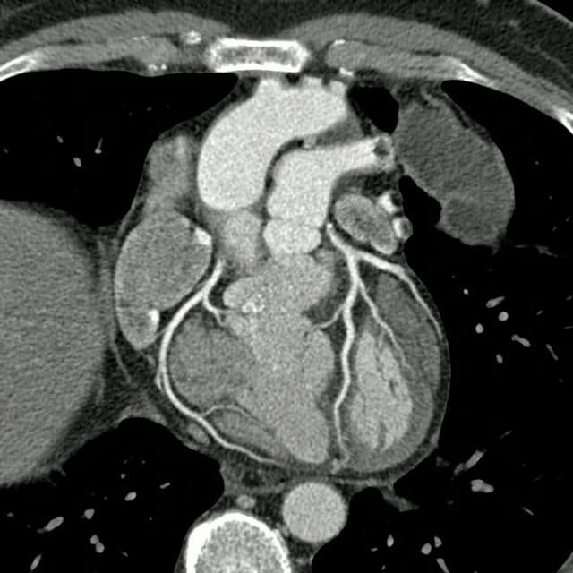
Input — CT Coronary Angiogram

CT CORONARY ANGIOGRAM⚠ ABNORMAL
CARD-2026-0113-001MedVision AI v3.2
Output
| Input | CT Coronary Angiogram (pathological). |
| Processing Flow | Imaging Agent → Segmentation → Diagnostic Agent → Evaluator. |
| Impression | “Significant multi-vessel coronary artery disease with triple-vessel involvement and concurrent left ventricular hypertrophy. High-risk coronary anatomy requiring cardiology evaluation for potential revascularization. Aggressive secondary prevention measures indicated.” |
| Performance | Confidence: 9/10 · Analysis: 3.8s · Agreement: 91% |
| Remarks | This cardiac CT angiogram reveals significant multi-vessel coronary artery disease with evidence of left ventricular hypertrophy, likely secondary to chronic hypertension. The findings warrant urgent cardiology consultation for consideration of invasive coronary angiography and potential revascularization. |
Findings (8)
Significant stenosis (70-75%) of the proximal left anterior descending artery with mixed plaque composition
Moderate stenosis (50-60%) of the mid left circumflex artery
Moderate stenosis (60-65%) of the proximal right coronary artery with calcified plaque
Concentric left ventricular hypertrophy with septal wall thickness of 14mm
Preserved left ventricular ejection fraction (55-60%)
No evidence of pericardial effusion
Normal ascending aorta diameter (3.8cm)
Coronary artery calcium score consistent with high cardiovascular risk
Differential Diagnosis
Multi-vessel Coronary Artery DiseaseHigh
Hypertensive Heart DiseaseHigh
Stable Angina PectorisModerate
Aortic StenosisLow
Recommendations
1.Urgent cardiology consultation within 48-72 hours for evaluation of revascularization options
2.Consider invasive coronary angiography to better characterize lesions and assess functional significance
3.Optimize medical therapy: high-intensity statin, aspirin, beta-blocker, ACE inhibitor
4.Aggressive blood pressure control targeting <130/80 mmHg
5.Echocardiogram to assess diastolic function and exclude valvular disease
6.Lipid panel and HbA1c to assess metabolic risk factors
7.Cardiac rehabilitation referral if revascularization performed
8.Lifestyle modifications: Mediterranean diet, regular aerobic exercise, smoking cessation if applicable
Clinical Trials (3)
CLEAR-SYNERGY: Colchicine and Spironolactone in Patients with STEMI/SYNERGY Trial
NCT03048825 • Phase III
PREVENT-HD: Prevention of Hypertensive Heart Disease Progression
NCT04521234 • Phase II
GUIDE-HF2: Hemodynamic-Guided Heart Failure Management
NCT04847362 • Phase III
Negative — NormalROUTINE
Input — CT Coronary Angiogram

CT CORONARY ANGIOGRAM✓ NORMAL
CARD-2026-0213-N01MedVision AI v3.2
Output
| Input | CT Coronary Angiogram (normal). |
| Processing Flow | Imaging Agent → Segmentation → Diagnostic Agent → Evaluator. |
| Impression | “Normal cardiac CT angiogram with no evidence of coronary artery disease, left ventricular hypertrophy, or other structural abnormality. Entirely reassuring examination.” |
| Performance | Confidence: 9/10 · Analysis: 2.1s · Agreement: 96% |
| Remarks | This cardiac CT angiogram demonstrates entirely normal coronary artery anatomy with no evidence of atherosclerotic disease. Left ventricular function and morphology are normal. No additional cardiac or great vessel abnormalities identified. |
Findings (8)
Normal coronary artery anatomy with no stenosis or plaque
Coronary artery calcium score: 0 (no calcification)
Patent left main, LAD, LCx, and RCA without stenosis
Normal left ventricular wall thickness (9mm septal)
Preserved left ventricular ejection fraction (60-65%)
No pericardial effusion
Normal ascending aorta diameter (3.2cm)
No mediastinal lymphadenopathy
Differential Diagnosis
Normal Cardiac AnatomyHigh
Coronary Artery DiseaseLow
Recommendations
1.No urgent follow-up required based on imaging findings
2.Continue standard cardiovascular risk factor management
3.Maintain healthy lifestyle with regular exercise and balanced diet
4.Routine follow-up with primary care physician as scheduled
5.Repeat cardiac imaging only if new symptoms develop
Disclaimer: AI-assisted analysis for clinical decision support. Requires physician review.